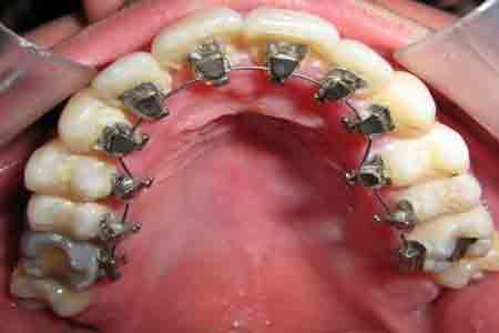
تقويم الأسنان الداخلي: معروف أيضًا بالتقويم اللساني أو التقويم المخفي، يُعتبر واحدًا من أنواع تقويم الأسنان الأكثر شيوعًا بين البالغين الذين يبحثون عن بدائل للتقويم المعدني التقليدي. يتم تركيب هذا النوع من التقويم على الجزء الداخلي للأسنان، مما يجعله غير مرئي عند الابتسام ويختبئ خلف الأسنان. يتميز التقويم الداخلي بعدة مزايا وعيوب يجب مراعاتها قبل اتخاذ قرار حول استخدامه.
مميزات تقويم الأسنان الداخلي:
1. خفي وغير مرئي:
يكون التقويم اللساني غير مرئي للآخرين، حيث يُثبت خلف الأسنان ويكون غير واضح عند الضحك أو الحديث.
2. فعالية في علاج مشاكل العضة:
يحقق التقويم الداخلي نتائج فعالة في تصحيح مشاكل العضة وتوجيه الأسنان إلى مواضعها الصحيحة.
3. راحة المريض:
يمكن تصميم التقويم الداخلي بشكل خاص لكل مريض، مما يعزز الراحة والفعالية في العلاج.
4. تجنب الحرج:
على عكس التقويم المعدني، لا يتسبب التقويم اللساني في إحساس المريض بالحرج أو الإحراج.
كيفية تركيب تقويم الأسنان الداخلي:
1. يقوم طبيب الأسنان بفحص وتقييم الحالة لتحديد ملاءمة استخدام التقويم الداخلي.
2. يلتقط الأشعة السينية والصور الثلاثية الأبعاد لتحديد مكان الأسنان المثالي.
3. يتم تصميم نموذج ثلاثي الأبعاد للأسنان باستخدام تقنيات متقدمة.
4. يرسل المختبر البيانات لتصنيع تقويم داخلي مخصص للمريض.
5. يقوم طبيب الأسنان بتثبيت التقويم بعد تنظيف وتجفيف الفم.
6. يترك التقويم لبضع دقائق ليتم تثبيته في مكانه.
مدة علاج التقويم الداخلي للأسنان:
كبقية أنواع تقويم الأسنان تختلف مدة العلاج حسب حالة المريض ودرجة صعوبة مشاكل الأسنان والفكين، في أغلب الأحيان تستغرق مدة العلاج ١٢ – ١٨ شهرًا، ولكن في بعض الحالات البسيطة قد يستغرق أقل من ٦ أشهر، ويحدد اختصاصي تقويم الأسنان الحالة والوقت اللازم للعلاج خلال الزيارة الأولى للمريض.


No comment